循環器内科
循環器内科

循環器内科では、全身に血液を送り出す働きをしている心臓や血管の病気を専門的に診療します。狭心症・心筋梗塞、心不全、心臓弁膜症、不整脈などの心臓の病気や、末梢動脈疾患(閉塞性動脈硬化症)、胸部・腹部の大動脈瘤や大動脈解離などの血管の病気に幅広く対応しています。
循環器疾患は原因となる高血圧症、脂質異常症、糖尿病、高尿酸血症、喫煙習慣などを総合的に管理しながら治療を行うことが大切です。当院では循環器疾患の予防と早期発見、診断と治療、慢性期における再発防止など、提携医療機関との充実した医療体制のもと行っております。
気軽に相談できる“心臓と血管のかかりつけ医”としてお役に立てましたら幸いです。
心臓や血管などの病気に関して専門的な診療を行っております。
日常的に起こりやすい症状でも、詳細な検査を行うことで重大な病気の早期発見につながることもよくあります。気になることがございましたら、何でもお気軽にご相談ください。
日本高血圧学会では、上の血圧である収縮期血圧(心臓が収縮したときの血圧)が140mmHg以上、または下の血圧である拡張期血圧(拡張したときの血圧)が90mmHg以上を高血圧としています。そのまま高血圧の状態にしておくと脳や心臓の血管が動脈硬化を起こし、脳卒中や心臓病、腎臓病などの重大な病気を発症する危険性が高まります。日本人の高血圧の約8〜9割が本態性高血圧(原因を一つに定めることのできない高血圧)で、遺伝的素因(体質)や食塩の過剰摂取、肥満など生活習慣病を主とした様々な要因が組み合わさって発症します。中年以降にみられ、食生活を中心とした生活習慣の改善が予防・治療に非常に大切です。
また、2025年7月には高血圧に関してのガイドラインが改訂され、高血圧治療ガイドラインから高血圧管理・治療ガイドラインへ変更され、生活の質の低下に繋がりかねない上に書いたような病気を発症しないようにするための早期発見、早期治療にシフトしてきております。
また、管理目標に関しても、どの年齢の方もご自宅で測定される血圧125/75mmHg未満を目指していくことが推奨されております。
脂質異常症とは血液中の「悪玉」と呼ばれるLDLコレステロールや中性脂肪(トリグリセライド)が増えたり、「善玉」のHDLコレステロールが減ったりした状態のことをいいます。この状態を放置していると動脈硬化が起こり、ゆっくり進行し、脳梗塞や心筋梗塞といった動脈硬化性疾患をまねくリスクが高まります。
中性脂肪が高い方は、循環器疾患のみならず脂肪肝や膵炎を引き起こしてしまうリスクも高くなるため注意が必要です。
脂質異常症の発症には、過食、運動不足、肥満、喫煙、過度な飲酒、ストレスなどが関係しているといわれています。「内臓脂肪型肥満」ではLDLコレステロールや中性脂肪が多くなり、HDLコレステロールが少なくなりやすい傾向があります。また、遺伝性の「家族性高コレステロール血症」と呼ばれているものもあります。
日本動脈硬化学会の「動脈硬化性疾患予防ガイドライン2022年版」に基づいた、脂質異常症の診断基準値を以下に示します。
| 項目 | 基準値(脂質異常症と診断される値) |
|---|---|
| LDLコレステロール(悪玉) | 140mg/dL以上 |
| HDLコレステロール(善玉) | 40mg/dL未満 |
| 中性脂肪(トリグリセリド) | 150mg/dL以上 |
| Non HDLコレステロール(=総コレステロール − HDL − C) | 170mg/dL以上 |
心臓の冠動脈が動脈硬化などによって狭くなると、心筋(心臓壁を構成する筋肉)に送られる血液量が不足し、心筋が酸素不足となります。このときの痛みが狭心症の痛みです。
労作性狭心症は「階段を上ると胸が締め付けられるように痛くなる」、「重いものを持ち上げたり、坂道を歩いたりすると胸が苦しく痛む、安静にすると楽になる」という症状がみられます。痛みの特徴としては圧迫感や絞扼(こうやく)感などがあり、前胸部、みぞおち、肩、頸などに生じます。歯やのどが痛むケースもあります。痛みは多くの場合、数分までです。
安静時狭心症は、夜、就寝中、明け方に胸が苦しく押さえつけられたような発作が起こります。多くの場合、冠動脈が一過性に痙攣(けいれん)を起こして収縮し、血流が一時的に途絶えるために生じると考えられています。冠攣縮性狭心症ともいいます。痛みの性質や部位などは労作性狭心症と同様です。冠動脈の攣縮(痙攣性の収縮)も、動脈硬化の進行過程にみられる現象と考えられています。
このような症状がある場合、早めに検査を受けることが大切です。
心筋梗塞とは、動脈硬化が進行して冠動脈にできていたプラーク(血液中のコレステロールや脂肪からできた粥状の物質)が冠動脈を塞いでしまい、心筋に血液が完全に行かなくなり、心筋が壊死した状態をいいます。突然、胸が焼けるように重苦しくなり、締め付けられ押しつぶされるような症状が現れます。冷や汗が出たり、吐き気があったりすることもあります。この発作は長く続き数時間に及ぶこともあります。このような場合は、至急救急車を呼んでください。内科的治療は冠動脈内に詰まった血栓を、血栓溶解薬(tPAなど)で溶かす治療法や、バルーンが先端についたカテーテル(細い管)を血管内に挿入し、詰まった部分を拡げたり、再閉塞を防ぐためにステント(筒状の金網)を血管内に留置したりするインターベンション治療があります。
心臓弁膜症とは心臓にある弁に障害が起き、本来の機能や役割を果たせなくなった状態をいいます。大きく分けて、弁の開きが悪くなり血液の流れが妨げられる「狭窄」と、弁の閉じ方が不完全なために血流が逆流してしまう「閉鎖不全」があります。
典型的な症状は、息切れ、胸の痛みや違和感、めまい、意識を失う、疲れやすいなどがありますが、心臓弁膜症に特有なものはありません。症状があっても加齢に伴う体の変化に似ていることから、見逃されがちです。
「健康診断などで心雑音が指摘された」、「心エコー図検査で心臓弁の異常を指摘された」という場合には、早めに専門医を受診しましょう。
心臓は全身に血液を送り出すポンプの働きをしていますが、心筋梗塞や心臓弁膜症、心筋炎など様々な心臓の病気によって、このポンプの働きに障害が生じ、色々な症状を引き起こしている状態をいいます。「急性心不全」と「慢性心不全」に分けられ、急性心不全は、短期間で激しい呼吸困難などの症状が現れることから、重症の場合、命を失う危険性が高くなります。一方、慢性心不全は、ちょっとした動作でも動悸や息切れがしたり、疲れやすくなったりします。咳や痰が止まらない、むくみが出るといった症状が現れることもあります。
慢性心不全は生活習慣病(高血圧、脂質異常症、糖尿病など)との関連性が高く、高齢になるほど発症する方が増えてくる傾向があります。
主に足の血管に起こる動脈硬化で、末梢動脈疾患とも呼ばれています。足に冷感やしびれ、歩行時に痛みを感じる、という症状があり、重症化すると手足に潰瘍ができ壊死することもあります。特に50歳以上の男性に多い傾向があり、肥満・高血圧・糖尿病・喫煙などが原因と考えられています。閉塞性動脈硬化症を発症した場合には、下肢動脈だけでなく全身の血管も動脈硬化が進んでいる可能性が高いので注意が必要です。
下にいくつかの症例を提示致しますが、末梢動脈疾患も例えば①の左鎖骨下動脈狭窄症の方はシャンプーをするときに左腕がだるくて洗い続けることができず、血圧の左右差を認めているということでご紹介いただいた方の治療前後の画像となります。
②の左浅大腿動脈閉塞の方は、駅から当院まで徒歩で来られる際に休み休みでないと来ることができないという間欠性跛行という症状を訴えられ、治療に至った患者さまです。
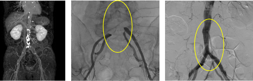
そのほか、③のように腹部大動脈終末部の閉塞に対しての治療なども連携施設と協力して治療を行っています。

①左鎖骨下動脈狭窄

②左浅大腿動脈閉塞

③腹部大動脈終末部〜左右総腸骨動脈の閉塞
不整脈は病名ではなく病態の総称で、心臓の電気的興奮のリズムが異常になった状態をいいます。大きく分けて脈がとぶように感じる期外収縮、脈が速くなる頻脈、脈が遅くなる徐脈の3つがあります。不整脈は治療の必要のないものから危険なものまで様々です。不整脈は健康成人では一般的で、不整脈がありながらご自身で気付かず、身体検査などではじめて不整脈を指摘された方もいます。一方、不整脈によっては心不全や失神発作を起こしたり、脳梗塞を併発したりするものもあります。不整脈を指摘されたときや脈の不整、激しい動悸を感じたときは専門医を受診しましょう。放置しておいてもよい不整脈なのか、危険な不整脈に発展するものかなど、よく説明を聞いて適切な指導を受けることが大切です。
TOP